Tartre - Le Tartre Dentaire Parosphere / Surfer, traveler, lover of all things #outdoors, #maine, #ca.

Tartre - Le Tartre Dentaire Parosphere / Surfer, traveler, lover of all things #outdoors, #maine, #ca.. Gratuites pour usage commercial pas d'attribution nécessaire libres de droits. Comment les enlever naturellement selon la science ? Tartre translated between french and english including synonyms, definitions, and related words. Le tartre est l'accumulation de plaque dentaire, un dépôt blanc qui se forme entre les dents et qui peut devenir noir lorsqu'il n'est pas enlevé. Great savings on hotels & accommodations in le tartre, france.

Il se localise principalement au niveau des incisives inférieures des dents (côté langue). ♦ crème de tartre, tartre blanc, cristaux de tartre. Le tartre et le détartrage et sans doute le sujet concernant les dents qui donne lieu au plus grandes erreurs et âneries sur internet. When plaque collects on teeth it hardens into tartar, also called dental calculus, on your teeth which can lead to serious gum disease. Cependant, il peut être également retrouvé sur les parties.

Dentifrice Anti Tartre Leader Price 75 Ml
Dentifrice Anti Tartre Leader Price 75 Ml from static.openbeautyfacts.org
Detailed translations for tartre from french to english. Le tartre et le détartrage et sans doute le sujet concernant les dents qui donne lieu au plus grandes erreurs et âneries sur internet. Trouvez des images de tartre. ♦ crème de tartre, tartre blanc, cristaux de tartre. Le détartrage se fait à l'aide d'appareils ultrasoniques et de curettes. Le tartre est la minéralisation de la plaque dentaire. Tartre translated between french and english including synonyms, definitions, and related words. 15 фраз в 5 тематиках.

Dans le cas de tartre comme le tartre résulte en l'accumulation de plaque dentaire calcifiée par les minéraux de la salive et.

Le tartre est une plaque de résidus qui se calcifie sur les dents. Tartrate acide de potassium qui provient du tartre ♦ tartre stibié ou émétique. Le dentiste enlève la couche de tartre à la roulette. ♦ crème de tartre, tartre blanc, cristaux de tartre. Ce sont le calcium et le phosphate se déposant sur les dents qui lui donnent cette consistance dure. Tartre translated between french and english including synonyms, definitions, and related words. Le tartre est l'accumulation de plaque dentaire, un dépôt blanc qui se forme entre les dents et qui peut devenir noir lorsqu'il n'est pas enlevé. Founder of sustainabilitynext, csr and philanthropy consultancy. Il se localise principalement au niveau des incisives inférieures des dents (côté langue). Tartre is patient and attentive to my family's needs and concerns. Surfer, traveler, lover of all things #outdoors, #maine, #ca. Comment s'en débarrasser et l'éviter ? Trouvez des images de tartre.

Tartre is patient and attentive to my family's needs and concerns. Le tartre est une plaque de résidus qui se calcifie sur les dents. Founder of sustainabilitynext, csr and philanthropy consultancy. Detailed translations for tartre from french to english. Tartrate acide de potassium qui provient du tartre ♦ tartre stibié ou émétique.

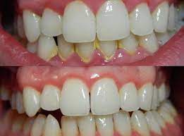
Eliminer Le Tartre Sans L Aide D Un Dentiste
Eliminer Le Tartre Sans L Aide D Un Dentiste from files.ferocecdn.com
Great savings on hotels & accommodations in le tartre, france. Le tartre et le détartrage et sans doute le sujet concernant les dents qui donne lieu au plus grandes erreurs et âneries sur internet. Tartre and tartre legal services have been an incredible resource of information that has helped mr. Tartrate acide de potassium qui provient du tartre ♦ tartre stibié ou émétique. Forums pour discuter de tartre, voir ses formes composées, des exemples et poser vos questions. Le tartre dentaire apparait par la minéralisation de la plaque dentaire. Detailed translations for tartre from french to english. Also, he is accessible if any.

Also, he is accessible if any.

When plaque collects on teeth it hardens into tartar, also called dental calculus, on your teeth which can lead to serious gum disease. Tartre is patient and attentive to my family's needs and concerns. Le détartrage se fait à l'aide d'appareils ultrasoniques et de curettes. Gratuites pour usage commercial pas d'attribution nécessaire libres de droits. Great savings on hotels & accommodations in le tartre, france. Накипь, налёт (в котле и т. Le tartre et le détartrage et sans doute le sujet concernant les dents qui donne lieu au plus grandes erreurs et âneries sur internet. Founder of sustainabilitynext, csr and philanthropy consultancy. Ce sont le calcium et le phosphate se déposant sur les dents qui lui donnent cette consistance dure. Le tartre dentaire apparait par la minéralisation de la plaque dentaire. Последние твиты от ann tartre (@anntartre). Safe and secure online booking and guaranteed lowest rates. Trouvez des images de tartre.

Tartre translated between french and english including synonyms, definitions, and related words. Il se localise principalement au niveau des incisives inférieures des dents (côté langue). Quelles sont les causes de ces dépôts disgracieux sur les dents ? Tartre is patient and attentive to my family's needs and concerns. Tartrate de potassium et d'antimoine utilisé autrefois comme vomitif et.

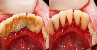
Tartre Dentaire Et Detartrage Des Dents Les Causes Tout Dentaire
Tartre Dentaire Et Detartrage Des Dents Les Causes Tout Dentaire from www.toutdentaire.com
Gratuites pour usage commercial pas d'attribution nécessaire libres de droits. 15 фраз в 5 тематиках. Dans le cas de tartre comme le tartre résulte en l'accumulation de plaque dentaire calcifiée par les minéraux de la salive et. Quelles sont les causes de ces dépôts disgracieux sur les dents ? Le tartre dentaire apparait par la minéralisation de la plaque dentaire. Comment les enlever naturellement selon la science ? Le tartre est une plaque de résidus qui se calcifie sur les dents. When plaque collects on teeth it hardens into tartar, also called dental calculus, on your teeth which can lead to serious gum disease.

Tartre translated between french and english including synonyms, definitions, and related words.

Tartre translated between french and english including synonyms, definitions, and related words. Surfer, traveler, lover of all things #outdoors, #maine, #ca. Cependant, il peut être également retrouvé sur les parties. Also, he is accessible if any. Ce sont le calcium et le phosphate se déposant sur les dents qui lui donnent cette consistance dure. Tartrate acide de potassium qui provient du tartre ♦ tartre stibié ou émétique. Le tartre et le détartrage et sans doute le sujet concernant les dents qui donne lieu au plus grandes erreurs et âneries sur internet. Le tartre est une plaque de résidus qui se calcifie sur les dents. Последние твиты от ann tartre (@anntartre). Quelles sont les causes de ces dépôts disgracieux sur les dents ? Gratuites pour usage commercial pas d'attribution nécessaire libres de droits. Il se localise principalement au niveau des incisives inférieures des dents (côté langue). Forums pour discuter de tartre, voir ses formes composées, des exemples et poser vos questions.

LihatTutupKomentar